Салихзянова Линара Рифатовна
- НаправленияЛечение кариеса, Эндодонтическое лечение
- Опыт работы доктора6 лет
- ФилиалСтоматология ул. Юлиуса Фучика, 131а
- НаправленияЛечение кариеса, Эндодонтическое лечение
- Опыт работы доктора6 лет
- ФилиалСтоматология ул. Юлиуса Фучика, 131а
Салихзянова Линара Рифатовна
Консультация c врачом
от 1000 ₽
О враче
Доктор проводит лечение кариеса и его осложнений по современными протоколам. Лечение корневых каналов зуба, включая процедуры при пульпите и периодонтите. Анализ рентгеновских снимков для диагностики скрытых проблем в зубах и каналах. Разработка индивидуальных планов лечения для пациентов, в зависимости от их конкретных потребностей и состояния здоровья полости рта.
Компетенции
01
Лечение зубов
02
Перелечивание зубов
03
Подготовка к ортодонтическому лечению
04
Подготовка к ортопедическому лечению
05
Закрытие клиновидных дефектов
Образование
- 2019Окончила Ижевскую государственную медицинскую академию
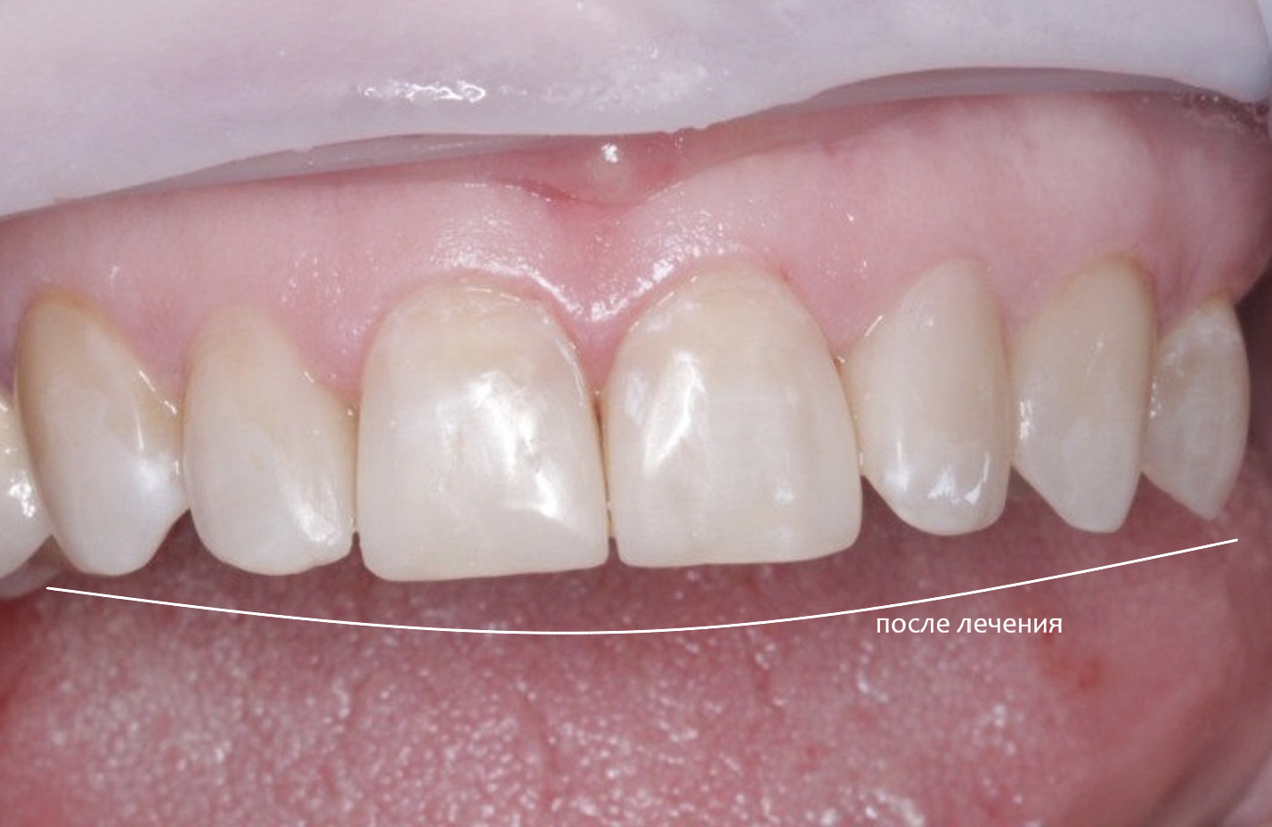
До и после
До
После

Сертификаты
Сертификат обучения
ENDO. Повседневная практика
Отзывы о враче — 4.8
Продокторов Пациент +7 937 61XXXXX
10 сентября, 2025
История пациента
Понравилось
Другие специалисты
Мухлисуллин Ильназ Хамзович
Консультация
Хотите сияющую улыбку? Оставьте заявку и начните улыбаться чаще!


