Егорова Дина Геннадьевна
- НаправленияЛечение стоматита, Профессиональная гигиена полости рта, Лечение гингивита, Лечение пародонтита, Лечение пародонтоза, Шинирование зубов, Кюретаж пародонтального кармана, Заболевания слизистой оболочки полости рта
- Опыт работы доктора14 лет
- ФилиалСтоматология ул. Фатыха Амирхана, 14а
- НаправленияЛечение стоматита, Профессиональная гигиена полости рта, Лечение гингивита, Лечение пародонтита, Лечение пародонтоза, Шинирование зубов, Кюретаж пародонтального кармана, Заболевания слизистой оболочки полости рта
- Опыт работы доктора14 лет
- ФилиалСтоматология ул. Фатыха Амирхана, 14а
Егорова Дина Геннадьевна
Консультация c врачом
от 1200 ₽
О враче
Врач работает только современными методиками, которые применяются во всем мире и имеют научную доказательную базу. Дина Геннадьевна применяет превентивные методы лечения на своем приеме.
В своей работе придерживаюсь правила «лучше предотвратить, чем лечить», поэтому уделяю профилактике очень большое внимание.
Егорова Дина Геннадьевна
Стоматолог-пародонтолог
Компетенции
01
Лечение заболеваний пародонта (пародонтит, гингивит)
02
Лечение переимплантита
03
Лечение слизистой оболочки полости рта (стоматит, КПЛ, лейкоплакия)
04
Стекловолоконное шинирование зубов
05
Лечение заболеваний пародонта на аппарате Vector Paro, Foto San, Revixan, Revident
Образование
- 2010Окончила Казанский государственный медицинский университет;
- 2013Прошла интернатуру на кафедре терапевтической стоматологии Казанской государственной медицинской академии;
- 2015Чувашский государственный университет им. И.Н. Ульянова, стоматология хирургическая
- 2018Российская Медицинская академия Непрерывного Профессионального Образования (РМАНПО), стоматология терапевтическая
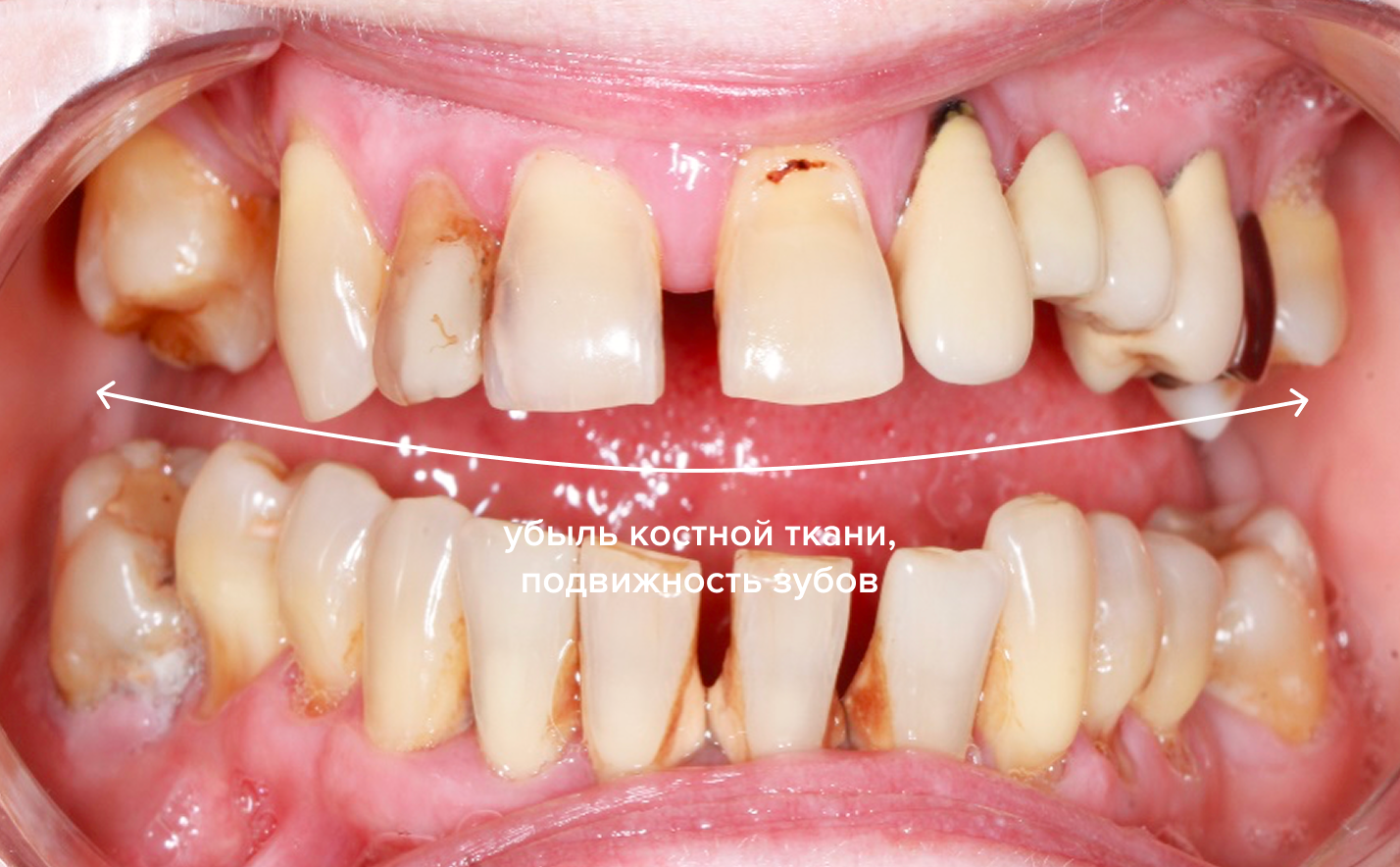
До и после
До
После

Сертификаты
Сертификат обучения
Курс "Пародонтологическая подготовка пациентов с воспалительными заболеваниями пародонта перед хирургическим лечением"
Сертификат обучения
Курс "Эффективные аппаратные методики в комплексном пародонтологическим лечении"
Сертификат обучения
Курс "Повышение качества лечения заболеваний пародонта с импользованием современных технологий"
Сертификат обучения
Подоготовительный семинар по программе iTOP
Сертификат обучения
Курс "Стратегия диагностики и лечения предопухолевых заболеваний слизистой оболочки рта: взгляд онколога"
Сертификат обучения
Курс "Стекловолоконное армирование в повседневной клинической практике"
Сертификат обучения
Семинар "Применение гиалуроновой кислоты в практике врача-стоматолога"
Сертификат обучения
Курс "Нехирургическая пародонтология от консерватизма к модерну"
Сертификат обучения
Сертификат обучения
Отзывы о враче — 5.0
Продокторов Пациент +7 996 33XXXXX
16 сентября, 2025
История пациента
Понравилось
Консультация
Хотите сияющую улыбку? Оставьте заявку и начните улыбаться чаще!

