Газизова Элин Ильдировна
Детский ортодонт
- НаправленияБрекет-системы, Элайнеры, Ортодонтическая коррекция
- Опыт работы доктора10 лет
- ФилиалСтоматология ул. Фатыха Амирхана, 14а, Стоматология ул. Туфана Миннуллина, 8А
- НаправленияБрекет-системы, Элайнеры, Ортодонтическая коррекция
- Опыт работы доктора10 лет
- ФилиалСтоматология ул. Фатыха Амирхана, 14а, Стоматология ул. Туфана Миннуллина, 8А
Детский ортодонт
Газизова Элин Ильдировна
Консультация c врачом
от 1000 руб.
О враче
Элин Ильдаровна создала много красивых и функциональных улыбок. Работает не только со взрослыми пациентами (брекеты, элайнеры), но и с детьми (несъемные, съемные аппараты, брекеты).
В работе предпочитает комплексный подход. Успешно работает в паре с челюстно-лицевыми хирургами, участвует в подготовке пациента к имплантации и протезированию.
Элин Ильдаровна очень внимательно относится к пациентам и старается найти подход к каждому. В ортодонтической практике нет ни одного одинакового случая, поэтому подход к лечению всегда строго индивидуален.
Доктор занимается своим профессиональным развитием и является участником множества съездов, конференций и семинаров.
Улыбка — это кривизна, всё выпрямляющая
Газизова Элин Ильдаровна
Стоматолог-ортодонт
Компетенции
01
Ортодонтическое лечение с помощью брекет-систем (металлические, керамические, комбинированные брекеты)
02
Ортодонтическое лечение с помощью элайнеров
03
Ортодонтическое лечение на несъемных аппаратах (аппараты для детей и подростков)
04
Подготовка к рациональному протезированию (работа с частичной брекет-системой и минивинтами)
05
Подготовка к ортогнатической хирургии (работа с челюстно-лицевыми хирургами)
Образование
- 2010-2015Самарский Государственный медицинский университет
- 2015-2016Казанский государственный медицинский университет, интернатура
- 2016-2018Казанская государственная медицинская академия, ординатура
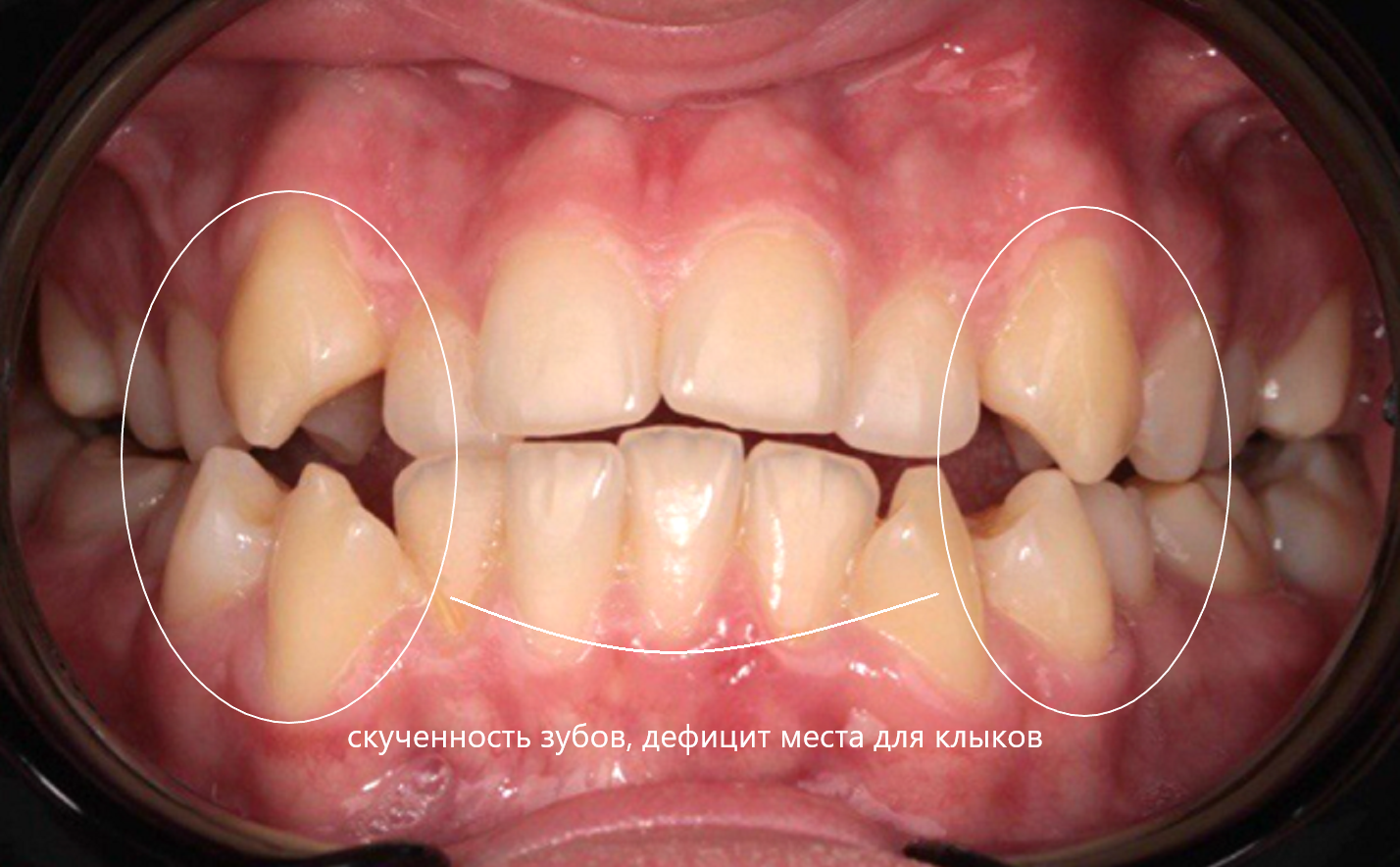
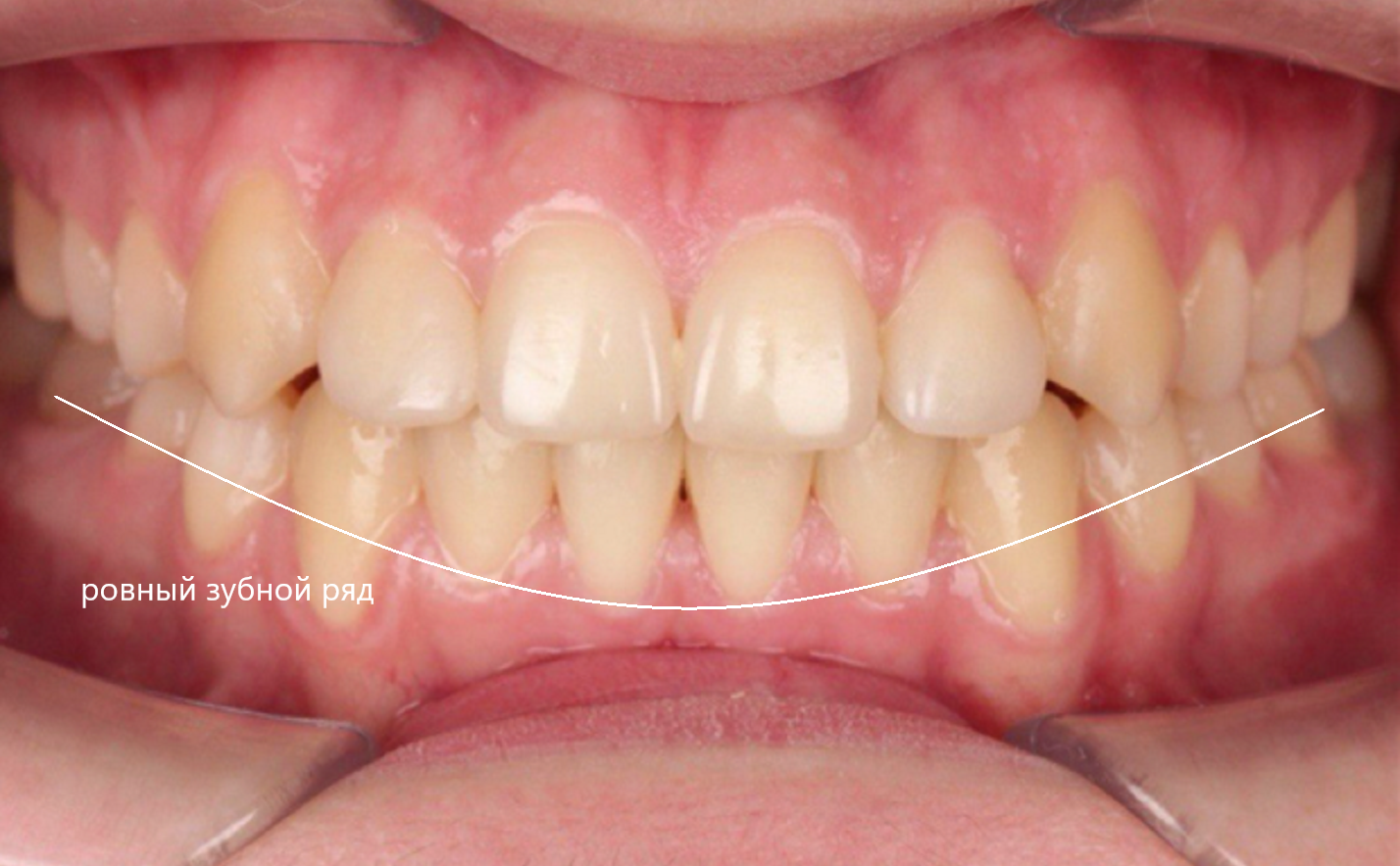
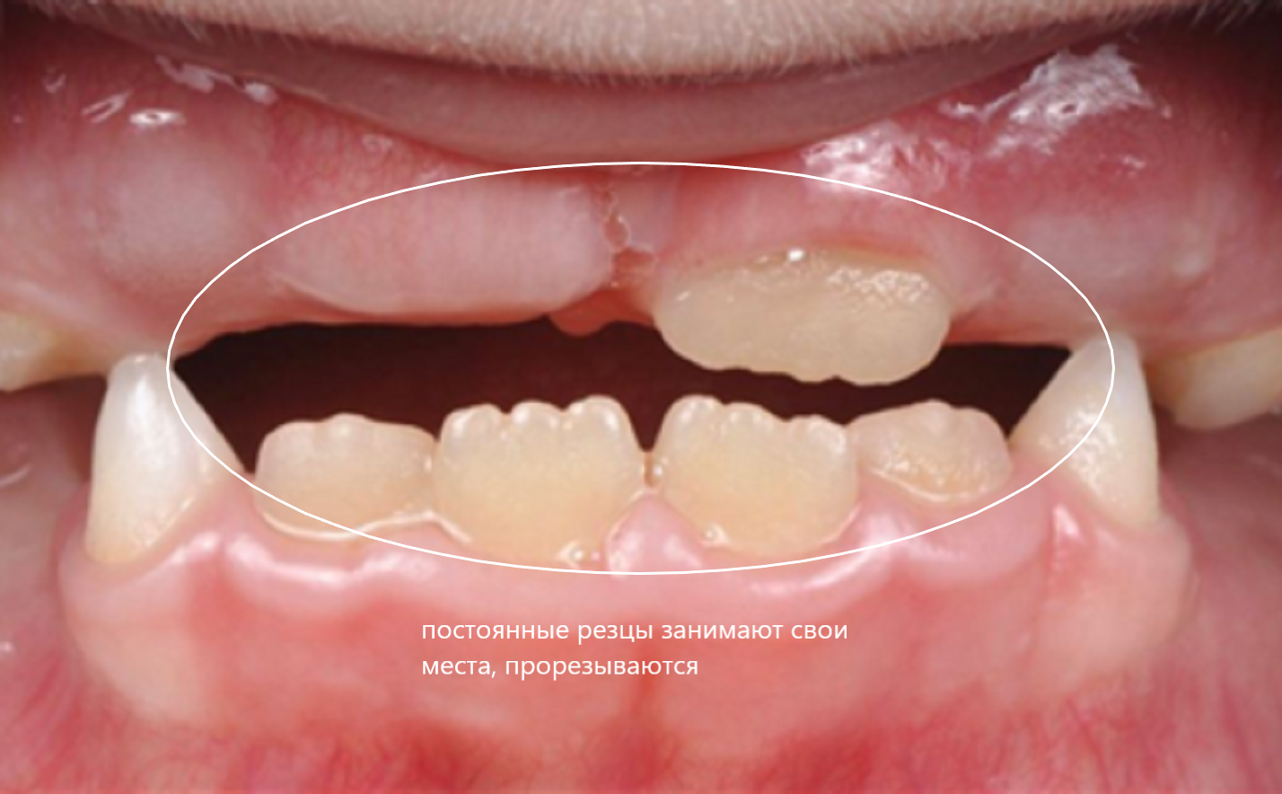
До и после
До
После

Сертификаты
Сертификат обучения
«Школа ортодонтии ORMCO»
Сертификат обучения
«Диагностика и торки»
Сертификат обучения
Cristian Demange, Stefano Troiani «Пропись get от теории к практике» Венгрия, Будапешт.
Сертификат обучения
Jose Chagues «Ортодонтическая секция в рамках форума «Стоматология татарстана», Казань
Сертификат обучения
«Ортодонтическое лечение детей», Москва
Сертификат обучения
«Эволюшн», Казань
Сертификат обучения
«Дистальный прикус», Ижевск
Сертификат обучения
Marco Rosa, Won Moon, Seong-Hun Kim «Ортодонтический конгресс», Москва
Сертификат обучения
Matias Angileri «Золотые правила самолигирования», Москва
Сертификат обучения
«Микроимпланты в ортодонтии», Казань
Сертификат обучения
«Вертикальный подход к планированию и коррекции сагиттальных аномалий», Санкт – Петербург
Сертификат обучения
«Фотопротокол в ортодонтии», Казань
Сертификат обучения
«Минивинты в ортодонтии», Москва
Сертификат обучения
«Ошибки и осложнения», Москва
Сертификат обучения
«Ортодонтия и ортогнатическая хирургия», Москва
Сертификат обучения
Модульный курс «Ортогнатодонтия», Москва
Сертификат обучения
«Особенности цифровой диагностики и планирования ортодонтического лечения», Казань
Сертификат обучения
«Детское ортодонтическое лечение детей», Санкт – Петербург
Сертификат обучения
"Удаляешь, значит понимаешь", Санкт – Петербург
Сертификат обучения
«Протоколы ведения пациентов со скелетной опорой» офис – курс, Москва
Отзывы о враче — 4.2
Продокторов Пациент +7 927 40XXXXX
22 апреля, 2024
История пациента
Понравилось
Другие специалисты
Нурисламова Айсылу Альфировна
Детский ортодонт
Хусаенова Юлия Рустамовна
Детский ортодонт
Ильина Диана Альбертовна
Консультация
Хотите сияющую улыбку? Оставьте заявку и начните улыбаться чаще!

