Нурисламова Айсылу Альфировна
Детский ортодонт
- НаправленияЛечение взрослых и детей на съемных и несъемных ортодонтических аппаратах
- Опыт работы доктора6 лет
- ФилиалСтоматология ул. Абжалилова, 19, Стоматология ул. Туфана Миннуллина, 8А
- НаправленияЛечение взрослых и детей на съемных и несъемных ортодонтических аппаратах
- Опыт работы доктора6 лет
- ФилиалСтоматология ул. Абжалилова, 19, Стоматология ул. Туфана Миннуллина, 8А
Детский ортодонт
Нурисламова Айсылу Альфировна
Консультация c врачом
0 руб.
О враче
Специализируется на диагностике и исправлении неправильного прикуса, профилактике его нарушений, изменением положения отдельных зубов.
«Улыбайся будущему и оно улыбнется тебе в ответ»
Нурисламова Айсылу Альфировна
Стоматолог-ортодонт
Компетенции
01
Ортодонтическая коррекция с применением брекет-систем
02
Ортодонтическая коррекция с применением съемных конструкций (элайнеры, пластины)
03
Ортодонтическая коррекция с применением несъемных конструкций
04
Работа с минивинтами
Образование
- 2019Казанский федеральный университет, специальность «Стоматология»;
- 2023Ординатура по специальности «Ортодонтия» на базе Санкт-Петербургского государственного университета (СпбГУ)
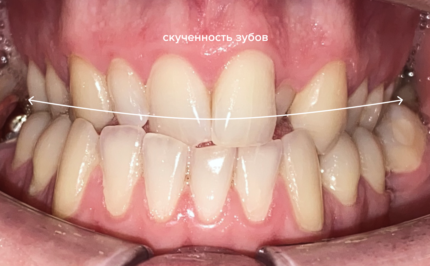
До и после
До
После

Сертификаты
Сертификат обучения
Семинар "Уровень I. Как грамотно начать лечение пациента."
Сертификат обучения
Сертификат обучения
Сертификат обучения
Сертификат обучения
Сертификат обучения
Сертификат обучения
Сертификат обучения
Сертификат обучения
Сертификат обучения
Сертификат обучения
Отзывы о враче — 4.4
Пациент +7 996 33XXXXX
22 июля, 2025
История пациента
Другие специалисты
Газизова Элин Ильдировна
Детский ортодонт
Хусаенова Юлия Рустамовна
Детский ортодонт
Ильина Диана Альбертовна
Консультация
Хотите сияющую улыбку? Оставьте заявку и начните улыбаться чаще!



