Шакмакова Аида Тимуровна
- НаправленияРеставрации, Лечение кариеса, Лечение пульпита, Лечение периодонтита
- Опыт работы доктора13 лет
- ФилиалСтоматология ул. М. Салимжанова 15/8в
- НаправленияРеставрации, Лечение кариеса, Лечение пульпита, Лечение периодонтита
- Опыт работы доктора13 лет
- ФилиалСтоматология ул. М. Салимжанова 15/8в
Шакмакова Аида Тимуровна
Консультация c врачом
от 1200 ₽
О враче
Аида Тимуровна владеет всеми современными методиками лечения, восстановления зубов и пломбирования корневых каналов. Доктор выполняет свою работу с использованием дентального микроскопа. Выполняет манипуляции по высокоэстетичной реставрации фронтальных и жевательных зубов, по подготовке зубов к дальнейшему протезированию. Берется за самые сложные зубы, сохраняя их от удаления, занимается лечением «кист».
Аида Тимуровна очень внимательный, добрый, отзывчивый и заботливый доктор, находит подход к каждому пациенту. Приемы проходят без боли и дискомфорта. Постоянно совершенствует свои знания и навыки на различных курсах, учебах, читает и изучает современную литературу.
«Нет предела совершенству»
Шакмакова Аида Тимуровна
Стоматолог-терапевт
Образование
- 2012Казанский государственный медицинский университет, Стоматология
- 2013Казанский государственный медицинский университет, интернатура "Стоматология общей практики"
- 2019Казанский государственный медицинский университет, повышении квалификации "Стоматология терапевтическая"
- 2023Казанский государственный медицинский университет, повышении квалификации "Стоматология терапевтическая"
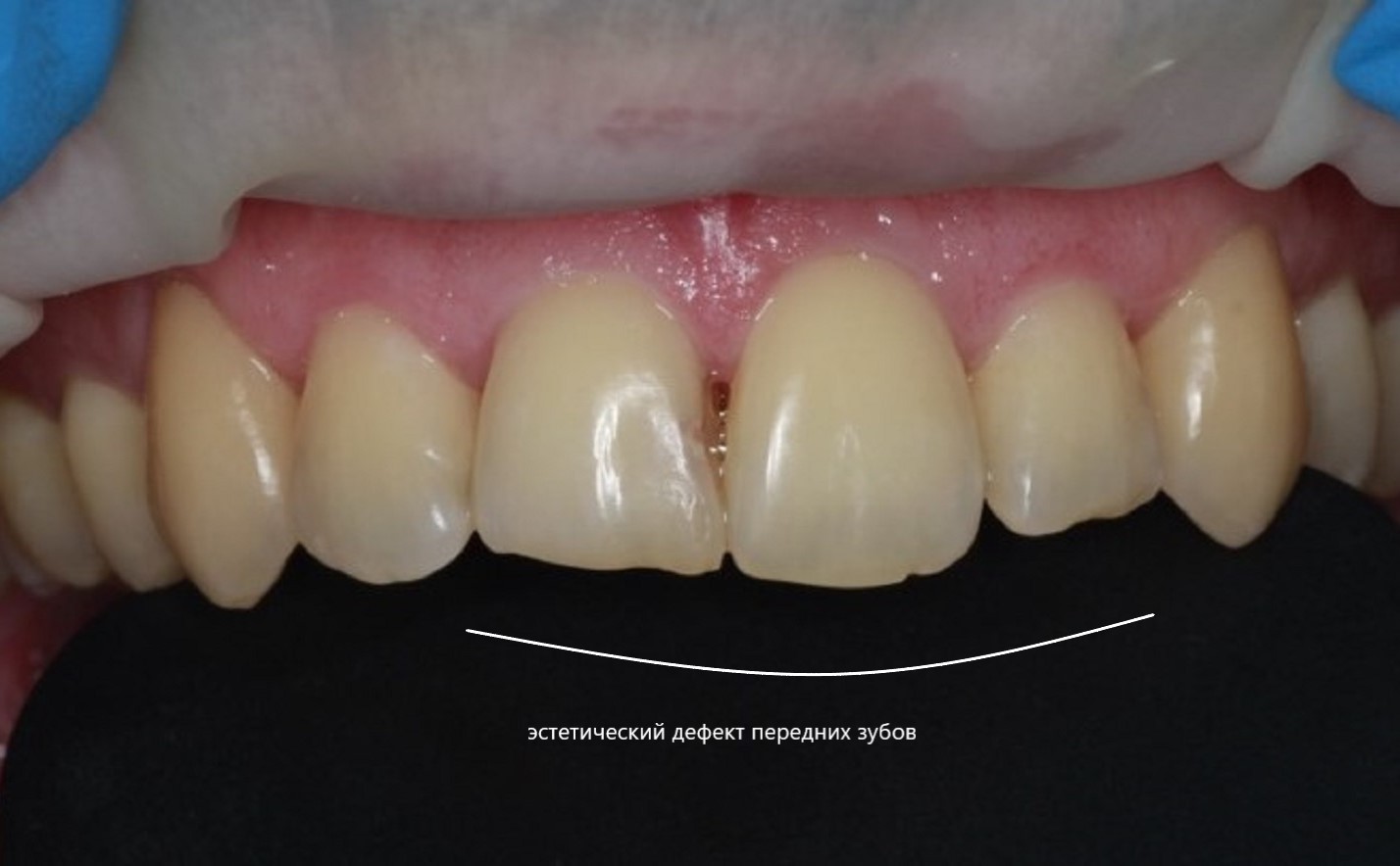
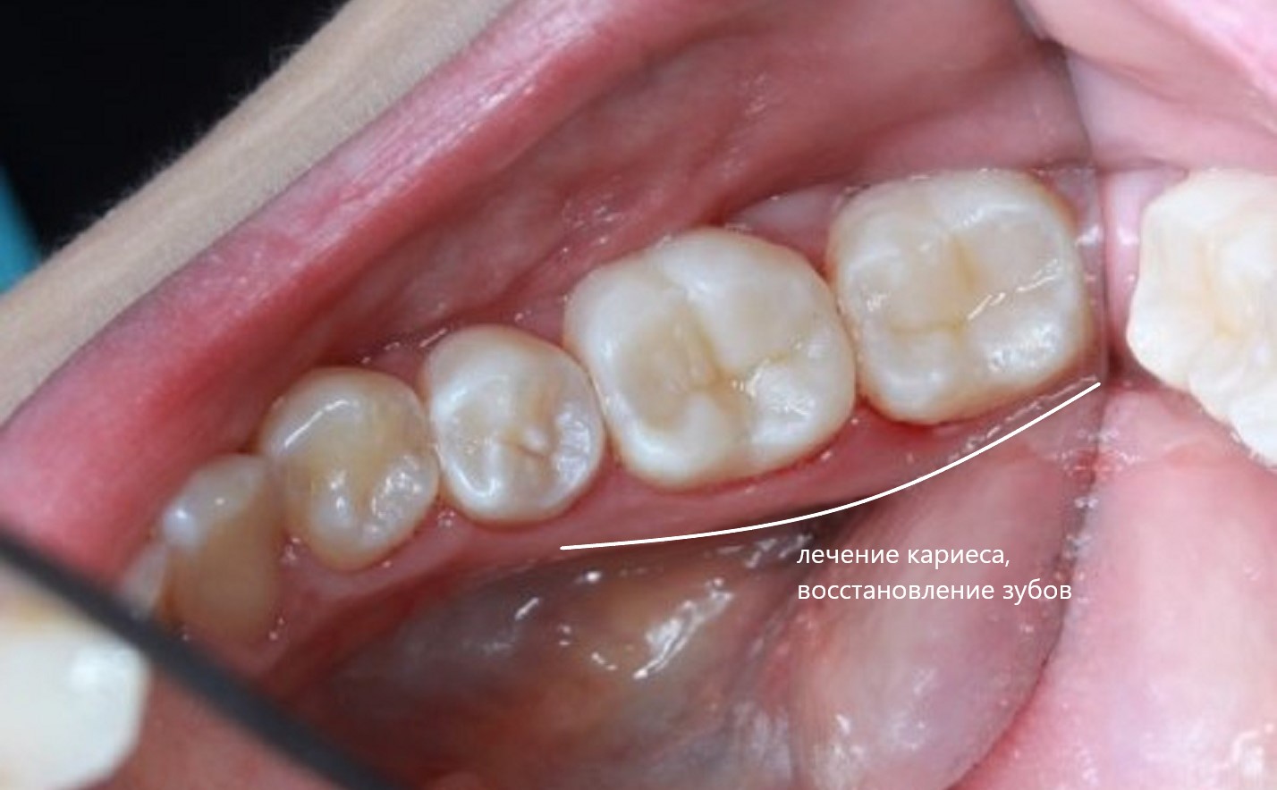
До и после
До
После

Компетенции
01
Лечении зубов любой сложности
02
Перелечивание корневых каналов зубов
03
Функциональное восстановление зуба
04
Лечение зуба при патологической стертости, эрозии, клиновидном дефекте
05
Эстетическая реставрация зубов
Сертификаты
Сертификат обучения
Вебинар "Основы успешной эндодонтии"
Сертификат обучения
Курс "Полный контакт"
Сертификат обучения
Практический курс "Posterior. Posterior II Direct Anterior@
Сертификат обучения
Интенсив "Direct posterior. Эстетика и функция."
Сертификат обучения
Курс "Фронтальные и жевательные реставрации"
Сертификат обучения
Курс "Посттравматическая реставрация. Морфология вестибулярной поверхности фронтальных зубов."
Сертификат обучения
Лекционный курс "Микроскопная эндодонтия. Методика безопасного извлечения фрагментов сломанных эндодонтических инструментов из корневых каналов"
Сертификат обучения
Мероприятие "Национальная школа пародонтологии"
Отзывы о враче — 5.0
Продокторов Пациент +7 953 13XXXXX
17 мая, 2025
История пациента
Пациент +7 950 31XXXXX
13 августа, 2025
История пациента
Понравилось
Другие специалисты
Мухлисуллин Ильназ Хамзович
Консультация
Хотите сияющую улыбку? Оставьте заявку и начните улыбаться чаще!




