Чугунова Ольга Владимировна
- НаправленияБрекет-системы, Элайнеры, Ортодонтические пластины
- Опыт работы доктора7 лет
- ФилиалСтоматология ул. М. Салимжанова 15/8в
- НаправленияБрекет-системы, Элайнеры, Ортодонтические пластины
- Опыт работы доктора7 лет
- ФилиалСтоматология ул. М. Салимжанова 15/8в
Чугунова Ольга Владимировна
Консультация c врачом
от 1000 рублей
О враче
Осуществляет диагностику и лечение нарушений прикуса, а также коррекцию положения зубов с использованием брекет-систем и элайнеров.
Компетенции
01
Ортодонтическая коррекция с применением брекет-систем (металлические, керамические, комбинированные брекеты)
02
Ортодонтическая коррекция с применением съемных конструкций (элайнеры, пластины)
03
Работа с минивинтами
Образование
- 2018Окончила Казанский государственный медицинский университет
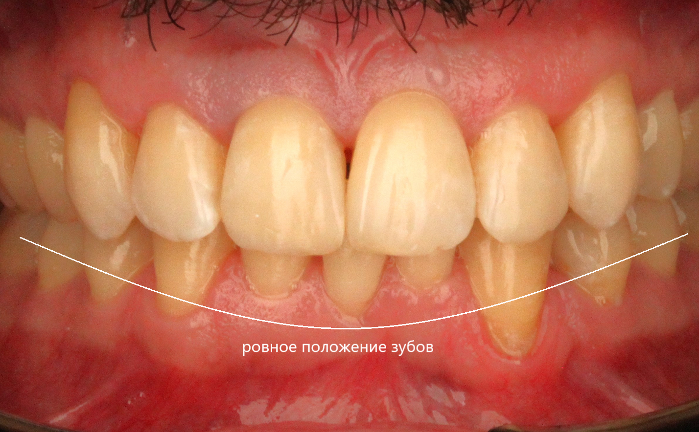
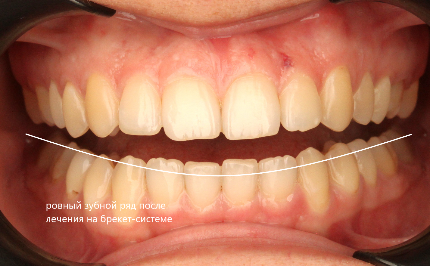
До и после
До
После

До
После

Команда специалистов
Срок лечения
1,5 года
Сертификаты
Сертификат обучения
Семинар "Цена и ценность ортодонтических ошибок"
Сертификат обучения
Сертификат обучения
Сертификат обучения
Сертификат обучения
Сертификат обучения
Сертификат обучения
Сертификат обучения
Сертификат обучения
Сертификат обучения
Сертификат обучения
Сертификат обучения
Сертификат обучения
Сертификат обучения
Сертификат обучения
Сертификат обучения
Сертификат обучения
Сертификат обучения
Сертификат обучения
Сертификат обучения
Сертификат обучения
Сертификат обучения
Сертификат обучения
Сертификат обучения
Отзывы о враче — 5.0
Продокторов Пациент +7 965 58XXXXX
27 октября, 2025
История пациента
Понравилось
Другие специалисты
Газизова Элин Ильдировна
Детский ортодонт
Нурисламова Айсылу Альфировна
Детский ортодонт
Хусаенова Юлия Рустамовна
Детский ортодонт
Ильина Диана Альбертовна
Консультация
Хотите сияющую улыбку? Оставьте заявку и начните улыбаться чаще!
